임플란트 치료를 위한 검사
임플란트 치료를 위해서는 기본적인 전신 질환 유무와 같은 문진 및 구강 검사 외에도 임플란트 식립 부위의 뼈의 양과 질적인 평가를 하고 정확한 임플란트 식립 위치의 예측을 위해 구강 내 및 구강 외 방사선 사진 혹은 단층 촬영(CT) 등이 필요합니다.
특히 CT 영상은 임플란트 식립 부위의 뼈가 부족한 경우 뼈 이식할 부위의 정확한 해부학적인 영상을 제공함으로써 뼈 이식술의 예후를 향상시킬 수 있습니다.
또한 임플란트 식립 위치를 가이드하는 스텐트(stent)를 미리 제작하여 CT 촬영할 때 구강 내에 장착하여 촬영하면 더 정확한 임플란트 식립 위치 및 길이를 결정할 수 있습니다.
이 외에도 임플란트 수술과 관련된 전신 질환을 갖고 있는 환자의 경우 내과적 검사 및 혈액 검사를 시행하기도 합니다.
![]() |
| 임플란트 시술을 위한 CT영상의 예시 |
임플란트의 치료 과정
임플란트 치료는 크게 두 단계로 나뉩니다. 먼저 잇몸뼈에 임플란트를 심는 1차 및 2차 수술 과정, 그리고 뼈와 임플란트가 잘 붙은 후 치아 모양 보철물을 씌우는 보철 과정입니다.
1차 수술
수술을 통해 치아 뿌리 모양의 임플란트를 잇몸뼈에 심습니다.
2차 수술
심은 임플란트가 잇몸뼈에 단단히 붙을 때까지 2~6개월 정도 기다립니다. (뼈 상태에 따라 기간이 달라질 수 있습니다.) 그 후 잇몸을 살짝 열고, 임플란트와 보철물을 연결하는 지대주를 연결합니다.
치아 보철
마지막으로, 자연 치아와 같은 모양의 보철물을 만들어 넣습니다.
임플란트는 한 번에 심거나 두 번에 나눠 심는 방법이 있습니다. 뼈가 부족한 경우에는 뼈 이식을 먼저 하고 임플란트 치료를 진행하기도 합니다.
1회 수술법
임플란트 윗부분을 잇몸 밖으로 노출시켜 한 번에 수술을 끝내는 방법입니다. 수술 횟수가 적다는 장점이 있지만, 뼈와 임플란트가 붙는 동안 외부 자극에 노출될 수 있어 뼈가 튼튼하지 않은 경우에는 적용하기 어렵습니다.
2회 수술법
1차 수술로 임플란트를 잇몸뼈에 심고 덮은 후, 일정 기간 치유를 기다린 다음 2차 수술로 잇몸을 열어 지대주를 연결하는 방법입니다. 수술 횟수가 많지만, 임플란트가 뼈 속에서 안전하게 치유될 수 있어 뼈가 약한 경우에도 적용 가능합니다.
| 상실된 앞니부위에서 1회법으로 임플란트를 식립하고 회복한 사례 |
| 상실된 두 개의 앞니를 2개의 임플란트를 식립하여 회복중인 사례 |
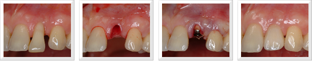
| 상한 앞니를 발거하고 즉시 임플란트를 식립하여 회복한 사례 |

